1999 - 2005 İstanbul Üniversitesi Diş Hekimliği Fakültesi, Lisans-Yüksek Lisans
2005 - 2013 İstanbul Üniversitesi Periodontoloji Ana Bilim Dalı, Doktora (PhD)
2013 - 2017 Bezmialem Vakıf Üniversitesi Diş Hekimliği Fakültesi Periodontoloji Ana Bilim Dalı, Öğretim üyesi ( yardımcı doçent doktor)
Üniversitede lisans, yüksek lisans, uzmanlık ve doktora öğrencilerine hem uygulamalı hem de teorik eğitimler
2015 - hâlen Periodent Dental Clinic, kurucu ortak, yönetici
2018 - hâlen Istanbul Dental Academy, kurucu ortak, yönetici
2006 yılından itibaren aralıksız olarak kendi kliniğimde diş hekimliğinin tüm alanlarında sağlık hizmeti vermekteyim.
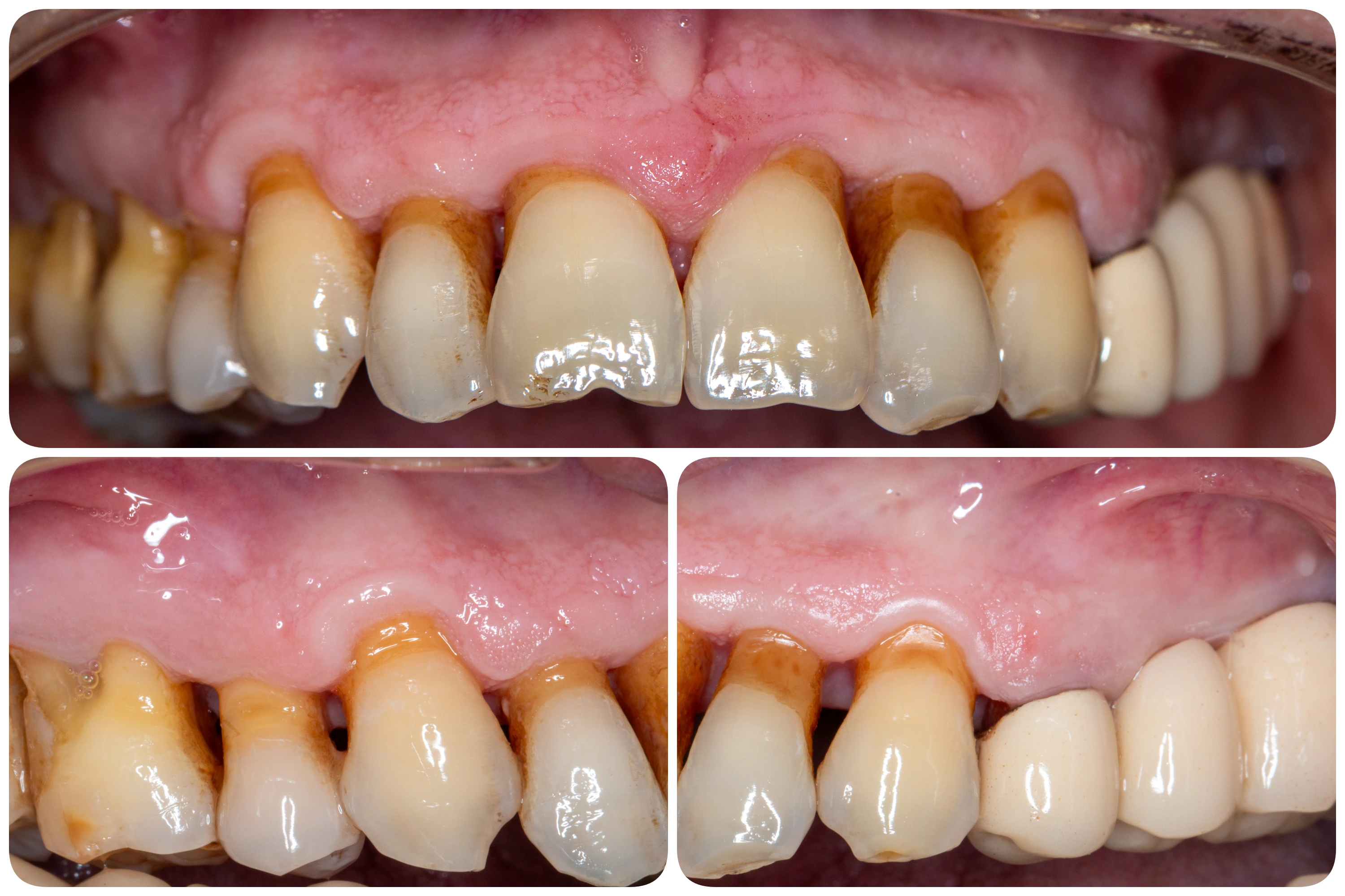
Özellikle de immediat implant tedavisi, implant komplikasyonlarının tedavisi, dişeti hastalıklarının tedavisi ve mikroskop destekli endodontik cerrahi ile ilgilenmekteyim.
17 yıllık implant tedavisi deneyimine sahibim. Diş hekimliği mesleğini sadece kendi kliniğimde sürdürmekteyim.
PREMİUM SONUÇLAR İÇİN UZMANLIK VE DENEYİM
Bu sitedeki bilgiler tıbbi tavsiye niteliği taşımamaktadır. Sadece bilgilendirme amaçlıdır. Bu bilgiler profesyonel tıbbi tavsiye, teşhis veya tedavi yerine geçmez. Bu sitede okuduğunuz bir bilgi nedeniyle profesyonel tıbbi arayışınızı asla göz ardı etmeyin. Tıbbi bir acil durumunuz olduğunu düşünüyorsanız, derhal doktorunuzla iletişime geçin veya 112'yi arayın.
HASTA HİKAYELERİ
Tüm hikayelere bak
1983 yılında SSCB’de doğdum. 2005 yılında İstanbul Üniversitesi Diş Hekimliği Fakültesinden mezun olduktan sonra 2013 yılında Periodontoloji Anabilim Dalında doktora eğitimini tamamlayarak, Bilim Doktoru ünvanını aldım. 2013-2017 yılları arasında Bezmialem Vakıf Üniversitesinde Yrd. Doç. olarak akademik kariyerine devam ettim. 2015 yılında kurulan Periodent Ağız ve
1983 yılında SSCB’de doğdum. 2005 yılında İstanbul Üniversitesi Diş Hekimliği Fakültesinden mezun olduktan sonra 2013 yılında Periodontoloji Anabilim Dalında doktora eğitimini tamamlayarak, Bilim Doktoru ünvanını aldım. 2013-2017 yılları arasında Bezmialem Vakıf Üniversitesinde Yrd. Doç. olarak akademik kariyerine devam ettim. 2015 yılında kurulan Periodent Ağız ve
1983 yılında SSCB’de doğdum. 2005 yılında İstanbul Üniversitesi Diş Hekimliği Fakültesinden mezun olduktan sonra 2013 yılında Periodontoloji Anabilim Dalında doktora eğitimini tamamlayarak, Bilim Doktoru ünvanını aldım. 2013-2017 yılları arasında Bezmialem Vakıf Üniversitesinde Yrd. Doç. olarak akademik kariyerine devam ettim. 2015 yılında kurulan Periodent Ağız ve
1983 yılında SSCB’de doğdum. 2005 yılında İstanbul Üniversitesi Diş Hekimliği Fakültesinden mezun olduktan sonra 2013 yılında Periodontoloji Anabilim Dalında doktora eğitimini tamamlayarak, Bilim Doktoru ünvanını aldım. 2013-2017 yılları arasında Bezmialem Vakıf Üniversitesinde Yrd. Doç. olarak akademik kariyerine devam ettim. 2015 yılında kurulan Periodent Ağız ve
1983 yılında SSCB’de doğdum. 2005 yılında İstanbul Üniversitesi Diş Hekimliği Fakültesinden mezun olduktan sonra 2013 yılında Periodontoloji Anabilim Dalında doktora eğitimini tamamlayarak, Bilim Doktoru ünvanını aldım. 2013-2017 yılları arasında Bezmialem Vakıf Üniversitesinde Yrd. Doç. olarak akademik kariyerine devam ettim. 2015 yılında kurulan Periodent Ağız ve