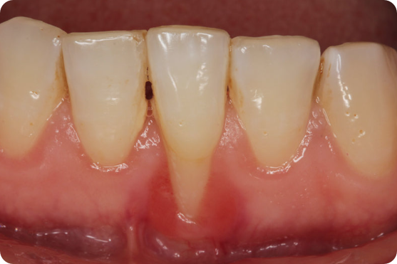
Diş Eti Çekilmesi

Diş eti çekilmesi bir durumdur, hastalık değildir. Diş eti çekilmesi, diş etlerinin geriye doğru çekilerek dişin kök kısmının açığa çıkması durumudur. Genellikle diş eti çekilmesi dişlerin dudaklara bakan yüzeyinde diğer yüzeylerine oranla çok daha fazla görülmektedir.

Diş Eti Çekilmesine Genel Bakış

Bu durum, diş hassasiyetine, çürük oluşumuna ve ilerleyen zamanlarda ise diş kaybına yol açabilir.  Diş eti çekilmesinin birçok sebebi vardır bu sebeplerden biri de diş eti hastalığıdır. Dolayısı ile de bir ilaç tedavisi yoktur. Genel olarak diş hekimliğinde ilaç sadece takviye amaçlı reçete edilmektedir. Çoğu durumda sadece hap veya ilaç alarak bir sorunu çözemezsiniz. Bu durum agresif diş fırçalama, diş eti hastalığı, ve hatta genetik nedenlerden kaynaklanabilir. Tedavi seçeneği olarak cerrahi ve cerrahi olmayan yöntemler mevcuttur. Bazı diş eti çekilmesi durumlarında hiç çekilme olmamış gibi sonuç elde edile bilinirken çoğu vakada %100 geri kazanma sağlanamıyor. Eğer bu makaleyi sonuna kadar okursanız diş eti çekilmesi ile bağlı aklınızdaki tüm sorulara cevap bulmuş olursunuz.

Diş Eti Çekilmesinin Belirtileri

Diş eti çekilmesi genellikle akut gelişen bir durum değildir, diş eti çekilmesi sebebe bağlı olarak aylar ve ya yıllar içerisinde oluşmaktadır. Diş eti çekilmesi ya hastanın kendisi tarafından ya da muayene sırasında diş hekimi tarafından teşhis edilmektedir. Ön bölge dişlerde olan diş eti çekilmesi arka bölge dişlere göre hastalar tarafından daha çabuk fark edilebilmektedir. Diş eti çekilmesini fark edilebilmesi kişinin farkındalık düzeyi ile de alakalıdır. 

Diş eti çekilmesinin belirtileri aşağıdaki gibidir:

  • Dişlerin normalden daha uzun görünmesi

  • Diş hassasiyeti (sıcak, soğuk veya tatlı yiyeceklere karşı)

  • Aynı dişin simetrisine göre o dişin boyutunun farklı görünmesi

  • Dişlerin rahat bir şekilde fırçalanamaması

Diş Eti Çekilmesinin Nedenleri

Diş eti çekilmesinin birden fazla sebebi olabileceği gibi sadece tek bir sebebe de bağlı diş eti çekilmesi olabilir. 

  • Diş eti hastalığı - Periodontitis

  • Agresif şekilde diş fırçalama 

  • Kötü ağız hijyeni

  • Anatomik sebeplere bağlı yatkınlık

  • Diş taşları

  • Şiddetli ağız Kuruluğu

  • Travma-yaralanma

  • Bruksizm

  • Ortodontik tedaviye bağlı

  • İleri derece diş çapraşıklığı

  • Dudak veya dil piercingi

  • Yaşlanmaya bağlı

  • Tütün Ürünleri Kullanımı

  • Hormonal Değişimler

Diş Eti Çekilmesinin Teşhisi

Diş eti hastalıkları alanında uzmanlık ya da doktora (PhD) eğitimi almış kişilere ‘periodontolog’ ya da ‘diş eti hastalıkları uzmanı’ denmektedir. Diş eti çekilmesi hastanın kendisi tarafından ya da bir diş hekimi tarafından teşhis edilebilmektedir. Eğer daha önceki teşhislerle ilgili net olmayan bir durum söz konusu ise o zaman diş eti hastalıkları uzmanına (periodontolog) muayene olmanız tavsiye olunur. Sürekli olarak diş eti sağlığı ile ilgilenen bir periodontoloğun farkındalığı doğal olarak daha yüksek olacaktır.

Diş Eti Çekilmesinin Tedavisi

Bir periodontolog, diş eti dokularını sağlıklı duruma getirmek ve dişlerinizi kurtarmak için en iyi tedavi yöntemini sizinle paylaşacaktır. Öncelikle diş etlerinde enfeksiyon tespit edilirse antibiyotik reçete yazılabilir.

Diş eti çekilmesine neden olan temel sorunu tedavi etmek için başka ilaçlar da kullanılabilir. Seçenekler şunları içerir:

  • Tropikal antibiyotik jel

  • Antiseptik çipler

  • Antimikrobiyal gargara

  • Enzim baskılayıcılar

AMELİYAT

En kötü diş eti çekilmesi vakalarında cerrahi uygulanabilir. 

Genellikle iki seçenek vardır: 1. Flep ameliyatı  2. Diş eti grefti ameliyatı

Flap ameliyatı, diğer tedavilerin başarısız olması durumunda kullanılan derin doku temizliğidir. Diş eti içindeki bakteri ve tartar oluşumunu ortadan kaldırır. Bu ameliyatı gerçekleştirmek için diş eti hastalıkları uzmanı diş etlerini kaldırır ve işlem bittiğinde tekrar yerine koyar. Bazen flep ameliyatından sonra dişler daha da uzun görünür çünkü diş etleri dişlerin çevresine daha yakın durur.

Diş eti grefti ameliyatında amaç ya diş eti dokularını ya da kemikleri canlandırmaktır. İşlem sırasında periodontist diş etlerinin yeniden büyümesine yardımcı olmak için sentetik bir parçacık veya bir parça kemik veya doku yerleştirir. Uygun ağız sağlığı bakımı olmadan bu sürecin uzun vadede başarılı olamayacağını unutmamak önemlidir.

Diş Eti Çekilmesini Önleme

Belki de diş eti çekilmesini önlemenin en iyi yollarından biri düzenli temizlik ve kontrol için diş hekimine gitmektir. Herhangi bir semptom yaşamazsanız bile diş hekimi diş eti hastalığının erken belirtilerini tespit edebilir. Düzenli diş ipi ve fırçalama bakterileri, yemek artıklarını ve plakları temizler ancak diş taşı sadece dental temizlik ile giderilebilir. Diş taşı, diş eti hastalığına ve diş eti çekilmesine katkıda bulunabildiğinden, bu tür komplikasyonları önlemek için yılda iki kez yapılan temizliklerin hayati önem taşımasının nedeni budur.

Diş Eti Çekilmesinin Prognozu

Hastalığın prognozu; hastalığın uzun dönemde seyri ve süreci anlamına gelmektedir. Diş eti çekilmesinin prognozu, nedenine, şiddetine ve uygulanan tedaviye bağlı olarak değişebilir. Erken teşhis ve uygun önlemlerle ilerlemesi yavaşlatılabilir veya tamamen durdurulabilir. Ancak tedavi edilmezse, diş kaybına kadar gidebilen ciddi komplikasyonlara yol açabilir.

Diş Eti Çekilmesiyle Birlikte Yaşamak

Diş eti çekilmesiyle birlikte yaşamak, başlangıçta bazı rahatsızlıklar yaratabilir, ancak doğru bakım ve düzenli diş hekimi kontrolleri ile yönetilebilir. Diş eti çekilmesinin tedavi edilmemesi, zamanla diş kaybı, hassasiyet ve enfeksiyonlara yol açabileceği için durumun yönetilmesi oldukça önemlidir. Diş eti çekilmesi ile yaşamayı kolaylaştıracak bazı öneriler şunlardır: 

  • Diş ipi kullanmak: Diş ipi, diş aralarındaki plağı temizler ve diş eti sağlığını iyileştirir. Ancak dikkatli olun, diş etlerinizi yaralamamak için nazik bir şekilde kullanmalısınız. 

  • Diş eti grefti (dokusu ekleme): Eğer diş eti çekilmesi ileri düzeyde ise, diş hekiminiz, eksik diş eti dokusunu yerine koymak için greft tedavisi önerebilir. Bu işlem, dişlerin korunmasına yardımcı olabilir. 

  • Cerrahi müdahale: Daha ciddi durumlarda, cerrahi müdahale gerekebilir. Diş hekiminiz, diş etlerini yeniden şekillendirebilir veya dişleri daha sağlam hale getirebilmek için ek tedaviler uygulayabilir. 

  • Diş Eti Çekilmesini Takip Etme Diş eti çekilmesinin ilerleyip ilerlemediğini gözlemlemek önemlidir. Eğer durum daha kötüye giderse, tedavi seçeneklerini tekrar gözden geçirmek gerekebilir. 

  • Diş hekiminizle düzenli takipler, erken müdahale ve tedavi açısından kritik önem taşır. 

Diş eti çekilmesi ile yaşarken, dikkatli ve özenli bir ağız bakımı ile sağlığınızı koruyabilir ve günlük hayatınızı daha rahat sürdürebilirsiniz. Unutmayın, erken tedavi ve doğru alışkanlıklarla diş eti çekilmesi kontrol altına alınabilir.

KAYNAK